Gum recession, while generally caused by gum disease, can result from lifestyle habits, changes in hormones, or even oral piercings. Nonetheless, there are quick and painless gum-recession treatments to restore the health of your gums.
Dr. Patel is highly trained in restoring the health of gums while correcting soft-tissue cosmetic issues. Before treatment, during your initial visit, our staff will assess your mouth. This is to determine the main cause of your gum recession.
There are several common factors that can lead to gum recession. For instance, poor oral hygiene habits, tobacco use, and oral piercings. Additionally, hormonal changes, stress, and periodontal disease can cause gum recession.
If you are currently suffering from gum disease, seek treatment. In short, gum disease does not stop on its own. And, it can quickly spread throughout your mouth. Fortunately, there are many solutions available, including gum grafts, pocket reduction surgery, or pinhole surgery.
The Chao Pinhole® Surgical Technique is a noninvasive and quick alternative to traditional gum grafting. Healthy gum tissue is repositioned through a tiny “pinhole” opening that is so small it doesn’t require sutures. As a result, the surgery can be completed in about 30 minutes. And with a fast recovery time, the benefits are immediate.
Gum grafting is the more traditional way to treat gum recession. In this case, we take healthy tissue and use it to cover the root of the tooth. As the tissue heals, it joins with the existing tissue to give you healthier gums.
Patients who struggle with periodontal disease can also have gum recession. We treat this through pocket reduction surgery to eliminate any infection and allow the tissue to naturally reattach.
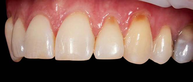
Before
After
In general, your best defense against gum recession is maintaining great oral health by brushing and flossing regularly. If you want to check the health of your gums, schedule a professional cleaning and exam at Infinite Smiles. We also offer nutritional counseling and advice for maintaining healthy gums.
To prevent gum recession and maintain gum health, we also recommend avoiding tobacco use and grinding your teeth. Smoking or smokeless tobacco contribute to gum infections and poor oral health, while increasing your risk of oral cancers.
Additionally, grinding or clenching teeth can cause gum recession. Common signs of grinding or clenching are headaches and migraines. So, we offer several oral appliances to prevent grinding and clenching and to prevent headaches.
| Mon: | 9:00 AM – 5:00 PM |
| Tue: | 7:00 AM – 5:00 PM |
| Wed: | 7:00 AM – 5:00 PM |
| Thu: | 7:00 AM – 4:00 PM |
| Fri – Sun: | Closed |
| Mon:9 | 9:00 AM – 5:00 PM |
| Tue: | 7:00 AM – 5:00 PM |
| Wed: | 7:00 AM – 5:00 PM |
| Thu: | 7:00 AM – 4:00 PM |
| Fri – Sun: | Closed |
© 2022 Infinite Smiles - Neal Patel, D.D.S., Inc. All rights reserved.
Get rewarded for referring friends and family to Dr. Neal Patel!
Refer as many people as you like, and earn a $50 credit (per household) each time.
Credits will be applied after the referred party completes an initial appointment that includes a comprehensive exam, cleaning and x-rays.
$50 credit is given to both you and the person you refer to Infinite Smiles.
New patients, simply mention who referred you to our office at your first appointment for the credit to be applied.
Does not apply to free consultations.
Referral discount is non-transferable.
If submitting to insurance, a $50 credit is applied to payment before insurance for any dental service.
Referral program discount does not expire.
Not redeemable for cash.